Ideal Dental

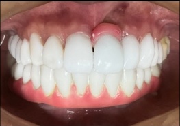
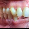
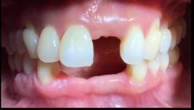
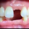
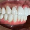
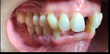
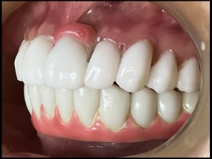
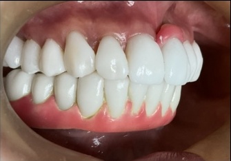
Before and after treatments

We Have all Dental Specialities, We use Different Types of Dental Implants and from a single Dental Implants to Full Arch Dental Implants using our Latest Technology in Implant and Cosmetic Dentistry.

Before

After

Before

After

ALL INCLUSIVE DENTAL CLINIC!

#1 Dental Choice in Mexico

Request a DENTAL QUOTE writing to idealdental01@gmail.com or  send us your photos or dental x-rays.